生命萌芽 | 艾玛妇产筛查胎儿畸形案例览
2019-04-11 09:54 来源:济南艾玛妇产医院
宝宝的健康是妈妈大的牵挂。据了解,我国是出生缺陷高发的国家之,每年约有80-120万缺陷儿出生。目前产前筛查的主要手段是超声检查,尤其是超声影像(四维彩超),诊断胎儿结构异常的准确率可达95-98%。
美国GE超声影像(四维彩超)
开创胎儿产前筛查新纪元
济南艾玛妇产医院直非常重视围产期保健及宝宝出生缺陷的预防,率先美国GE高清超声影像(四维彩超),为济南孕妈和胎儿的健康保驾护航。
济南艾玛妇产医院的GE高清超声影像(四维彩超)设备,是目前上的彩色超声设备,远比普通超声设备清晰、准确,被誉为"神奇彩超",是产前筛查的尖端设备,能够多方位、多角度地观察宫内胎儿的生长发育情况,为早期诊断胎儿先天性体表畸形和发育异常提供科学依据,以便尽早的进行治疗。有效防止和减少新生儿出生缺陷的发生。
美国GE
高清产前筛查更精准
美国GE不仅能提供包括腹部、血管、小器官、产科、妇科、泌尿科、新生儿和儿科等多领域的多方面的应用,而且能够显示未出生的宝宝的实时动态活动图像,为胎儿进行宫内拍“写真”和动态录像,让宝宝拥有完整的0岁相册。通过超声影像(四维彩超),可以看到宫内胎儿打哈欠、伸懒腰、吮手指等萌萌的动作,让准爸妈们增添了安心和乐趣,不再仅仅是感觉宝宝的呼吸和运动,可以亲眼目睹宝宝的举动和乖巧容颜。还可以打印宫内高清写真,作为送给未来宝宝的珍贵礼物!
此外,美国GE采用出色的人体工程学设计,不存在射线、光波和电磁波等方面的辐射,对人体的健康没有影响,让准妈妈安心孕育健康、聪明的宝宝。
济南艾玛妇产医院
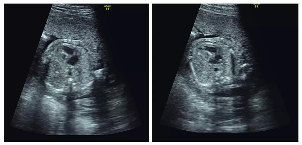
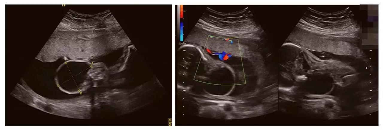
成功筛查胎儿畸形的案例(部分)

(右手多指畸形)

(单侧唇裂)

(双侧唇裂)

(左心发育不良)

(胸腹腔积液、全身水肿)

(颈后水囊瘤)

(胎儿左手未见,考虑截肢畸形)

(胎儿颅内结构异常、眼距窄、鼻结构异常...)
以上案例更多的是警示我们超声影像(四维彩超)检查的重要性。我们希望每个宝宝都能健康成长。
把握做超声影像(四维彩超)的佳时间
超声影像(四维彩超)检查的适宜时间是孕期22-26周。此时胎儿大小及羊水适中,活动度大,体表也比较丰满,利于胎儿超声成像和胎儿畸形筛查。孕妈们定要注意超声影像(四维彩超)检查的佳时间,提前做好预约准备哦。(点阅读原文可咨询预约)
超声影像(四维彩超)
宝宝的0岁照片
4月9日
“遇·见”四维艺术展
穿越时空的亲子艺术之旅
详情请看:
上篇:关于举办“医疗质量管理工具运用师资培训班”的通知
下篇:遇·见 | 小溪与你起走近“水墨”四维艺术展的