广告

8:00-19:00 济南市历下区窑头路1号(燕山银座对面)
 尊贵的客户,欢迎您使用艾玛网络挂号系统!
  • 人工在线挂号
    点击在线预约 →
    服务时间 8:00-24:00
    * 与客服人员取得联系,选择项目&医生-时间及个人信息,即可成功预约。
  • 电话挂号系统
    24小时预约专线
    0531-82313337
    * 通过客服电话,可以轻松预约各科室专家及预订房产。
  • 自助挂号系统
    • 您的姓名:
    • 您的电话:
    • 您要预约:
    * 写信提交后,客服人员将给你回电确认预约信息。
  • 微信挂号系统
    * 扫描微信二维码添加艾玛官方微信为好友,发送姓名+电话+预约项目&医生+时间,即可挂号。
[field:typename/]

子宫疾病

  宫颈刮片,也就是Pap Smear,是指从子宫颈部取少量的细胞样品,放在玻璃片上,然后在显微镜下研究是否异常。由于这项检验的提出,子宫颈(疾病)的死亡率至少降低了70%。通过简单的宫颈抹片,医生可以侦测到子宫颈细胞微小的极早期变化,这使致命的(疾病)症甚至在还没真正发生之前就被狙击了。宫颈刮片是目前广泛检查子宫颈(疾病)简便有效的诊断方法。
  在充分暴露子宫颈外口后,将刮片在子宫颈外口处旋转周即?度,轻轻刮取该处的粘膜及分泌物。然后将取下的分泌物均匀地涂在有编号的玻片上,立即固定于95%的乙醇内15分钟,取出后用巴氏染色法染色。

 

  在充分暴露子宫颈外口后,将刮片在子宫颈外口处旋转周即?度,轻轻刮取该处的粘膜及分泌物。然后将取下的分泌物均匀地涂在有编号的玻片上,立即固定于95%的乙醇内15分钟,取出后用巴氏染色法染色。
  这种诊断方法不会引起宫颈损伤,也不会引起疼痛。当然为了不影响宫颈刮片的诊断率,还应注意以下几个问题:
  1、刮片前24小时内被检查者避免性生活。
  2、计划检查前24~48小时内不要冲洗阴道或使用置入阴道的栓剂,也不要进行阴道内诊检查。
  3、有炎症时行治疗,然后再刮片,以免片中充满大量白细胞和炎性细胞,影响诊断。
  4、 检查好安排在非月经期进行。
  5、刮片是应轻轻刮取周,避免损伤组织引起出血而影响检查
  6、若白带过多,应先用无菌木棉轻轻刮净黏液再取标本。
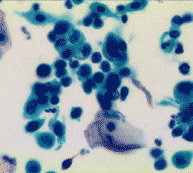
  宫颈刮片是用特制刮板,将宫颈脱落细胞刮下后,涂在玻璃片上,经过种特殊的巴氏染色,然后置显微镜下观察。根据巴氏染色的特点将细胞分为巴氏I、Ⅱ、Ⅲ、Ⅳ、Ⅴ级。
  巴氏I级
  正常涂片中没有不正常细胞。
  巴氏Ⅱ级
  炎症涂片中细胞有异形改变。
  巴氏Ⅲ级
  涂片中的可疑(疾病)细胞有核变质改变,但不能肯定,需要进步随诊检查确诊。
  巴氏Ⅳ级
  涂片中有高度怀疑是恶性的细胞。
  巴氏Ⅴ级
  涂片中有(疾病)细胞,可肯定是(疾病)症。
  1、做宫颈刮片好是在非月经期;
  2、在宫颈刮片之前天之内,要避免性生活;
  3、在计划做宫颈刮片之前的24--48个小时之内要禁止冲洗阴道或使用置入阴道的栓剂,并且也不要进行阴道内诊检查;
  4、在做宫颈刮片之前,如果被确诊患有炎症的话,治愈炎症之后才可以做。
  宫颈刮片是目前广泛检查子宫颈(疾病)简便有效的诊断方法。任何有三年以上性行为或21岁以上有性行为的妇女应该开始定期做宫颈(疾病)的筛查,早婚早育、有流产史、性病史、拥有多名性伴侣的女性,都是宫颈(疾病)的高发人群。
  宫颈刮片检查,它使子宫颈(疾病)的死亡率至少降低了70%。通过简单的宫颈抹片,可以侦测到子宫颈细胞微小的极早期变化,这使致命的(疾病)症甚至在还没真正发生之前就被狙击了。
  宫颈刮片检查,它使子宫颈(疾病)的死亡率至少降低了70%。宫颈刮片是目前广泛检查子宫颈(疾病)简便有效的诊断方法。任何有三年以上性行为或21岁以上有性行为的妇女应该开始定期做宫颈(疾病)的筛查,早婚早育、有流产史、性病史、拥有多名性伴侣的女性,都是宫颈(疾病)的高发人群。
  1、术后要在医院内休息半小时至1小时,无特殊不适,方可离院.
  2、由于手术中疼痛刺激,可能出汗较多.故术后要注意保暖,避风寒,预防外感,盛夏时节不可过于吹空调.
  3、由于刮宫后子宫内膜留有创伤,手术后两周内会有阴道出血,般血量少于月经量或相似月经量,均为正常.如超过两周血仍未净或其间血量超过月经量者,请立即到医院就诊.
  4、术后由于子宫收缩出现腹痛,多于半小时至1小时左右缓解.如数小时或数日后出现腹痛剧烈,阴道出血有较多血块,伴高热,请即到医院就诊.
  5、要保持会阴部清洁干燥,勤换卫生巾,选用标有“消”字,“准”字的卫生巾,纸.每晚用清水清洗外阴,用清洁干燥的毛巾擦干.切勿用手掏洗阴道,也不可自己用任何药物洗剂冲洗阴道.
地址:济南市历下区窑头路1号
电话:+86(0)531-82313337
传真:0531-82318866
微信公众号:jnamfcyy
鲁ICP备14036030号-2